동탄역치과, 망가진 치주조직을 재생 후 임플란트 식립

잇몸질환은 겉으로 드러나는 증상이
늦게 나타나는 경우가 많아
이미 치조골이 크게 파괴된 상태에서
병원을 찾는 분들이 적지 않습니다.
치아를 지탱하는 치조골은 염증이 반복되면
서서히 녹아 없어지며
일정 수준 이상 파괴되면
치아가 흔들리고 일상적인
식사조차 어려워질 수 있습니다.
특히 잇몸 깊은 곳에 단단하게 붙어 있는
치은연하치석은 칫솔질로는 절대 제거할 수 없고
이 치석이 전 치아에 걸쳐 침착되어 있으면
구강 전체의 치주조직이 무너지는
악순환이 지속됩니다.
이런 경우 환자분은 대부분 여러 치아를
한꺼번에 발치해야 한다는 진단을 받고
크게 놀라는 경우가 있습니다.
그러나 동탄역치과에서 치주치료를 통해 염증을 먼저 줄이고
안정화를 유도하면
생각보다 많은 치아를 살릴 수 있습니다.
스케일링과 치주소파술로
염증 조직과 치석을 제거하고
이후 6개월 간격의 유지치료를 꾸준히 시행하면
잇몸뼈가 스스로 재생되는 환경이 만들어집니다.
치주소파술
: 잇몸 안쪽 깊은 곳에
붙어 있는 염증 조직과
치은연하치석을 깨끗하게 제거하는
잇몸치료입니다.
또한 치아가 많이 흔들리는 경우
잠간고정술을 활용해 일시적으로 치아를 묶어주면
잇몸조직이 자리를 잡는 데 큰 도움이 됩니다.
치주치료는 시간이 걸리지만
그만큼 치아를 살릴 가능성을
넓혀주는 매우 중요한 과정입니다.
이번에 소개하는 환자분은 이러한
동탄역치과 치주치료의 효과를 잘 보여주는 사례입니다.
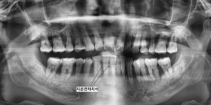
초진 내원 당시 환자분의 구강 내에는
28개의 모든 치아에서 치조골 파괴가
심하게 진행되어 있었고
치은연하치석이 거의 전 영역에
걸쳐 침착된 상태였습니다.

x-ray상에서 잇몸아래쪽 치아 옆에 뾰족하게
붙어있는 것들이 치은연하치석입니다.
이미 망가진 치주조직들로 인해
이미 치조골이 많이 파괴된 상태여서
치아동요도도 매우 심해 일상생활에서도
불편감이 컸으며
타치과에서는 전악발치와 전악임플란트밖에
방법이 없다는 이야기를 들으셨습니다.
하지만 환자분은 가능한 한
치아를 살릴 수 없을지 고민하시며
동탄역치과에 내원하셨고
철저한 평가 후 우선 치주치료부터
진행해보자고 안내드렸습니다.
곧바로 발치하는 대신 치주소파술과
스케일링을 반복해 염증을 줄이고
상하악 전치부에는 잠간고정술을 시행하여
흔들림을 최소화했습니다.
잠간고정술
: 여러 치아를 가느다란 와이어나
보강 재료로 연결해
하나의 단단한 지지대로 만들어
흔들림을 줄여주는 치료입니다.

이후 환자분은 6년 동안 매우 성실하게
치주치료와 유지관리를 이어가셨고
그 결과 대부분의 치아에서 치조골 재생이
관찰될 만큼 건강한 상태로 회복되었습니다.
전악발치가 필요하다는 절망적 상황에서
꾸준한 치료를 통해 본인의 자연치아를
대부분 유지할 수 있었다는 점은
환자분에게 큰 만족감을 주었습니다.

다만 왼쪽 위와 아래 어금니 치아는
동요도가 끝까지 남아 있어 발치가 불가피했고
해당 치아는 발치 즉시 임플란트 식립을 진행하며
치조골 이식술을 병행했습니다.
뼈가 많이 소실됐던 부위였기 때문에
골재생을 유도하는 과정이 중요했지만
발치 즉시 식립 후 경과는 매우 양호했습니다.

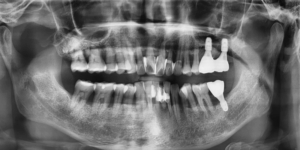
최종 보철 완성 후 촬영한 사진에서는
임플란트를 식립한 부위의 치조골이
안정적으로 재생된 모습을 확인할 수 있었고
환자분은 임플란트 포함 모든 치아를
불편함 없이 사용하고 계십니다.
처음 전악발치를 권유받았던 분이
6년 이상의 관리 끝에 대부분의 치아를
스스로의 치아로 유지하고 있다는 점에서
치주 치료의 의미가 더욱 컸습니다.

동탄역치과는 잇몸이 아무리 안 좋은 분들도
단계적인 치주치료와 정밀한 접근을 통해
치아를 살릴 수 있는 가능성을
끝까지 찾기 위해 노력합니다.
환자분의 꾸준한 관리와 협조를 바탕으로
최선의 결과를 얻을 수 있었던 사례이며
앞으로도 환자분의 구강 건강을 지키기 위해
저희 치과는 정성을 다해 진료하겠습니다.
감사합니다.
*모든 증례 사진은 의료법 제23조, 제 56조에 의거하여, 당사자의 동의하에 게시하였습니다.
*치료 사진은 모두 본원에서 치료한 환자분의 사진입니다.
*치료 사진은 모두 동일인의 사진이며, 동일조건에서 촬영하였습니다.
*개인의 차이에 따라 시술 및 수술 후 부작용이 발생할 수 있으며, 의료진과 충분한 상담을 받으시기 바랍니다.