동탄치과, 치조골 파괴가 심한 경우의 임플란트 사례

치주염이 오래 진행된 경우에는
단순히 잇몸만 약해지는 것이 아니라
치아를 지탱하고 있는 치조골까지
함께 파괴되는 경우가 많습니다.
치조골은 치아의 뿌리를 감싸고 있는 뼈로
이 뼈가 충분히 남아 있어야
임플란트를 안정적으로 식립할 수 있습니다.
하지만 치주염이 심해지면
잇몸 속 염증이 뼈까지 퍼지면서
치조골이 점점 흡수되고
결국 치아가 흔들리거나
발치가 필요한 상황으로 이어지게 됩니다.
이러한 상태에서 식립을
바로 시도하게 되면 뼈가 부족해
고정력이 떨어질 수 있어
사전에 뼈를 회복시키는 과정이 매우 중요합니다.
특히 위쪽 어금니 부위는
상악동이라는 빈 공간이
가까이 위치해 있어
치조골이 부족한 경우
임플란트 식립이 더욱
까다로워질 수 있습니다.
이때 상악동거상술을 통해
상악동 공간을 위로 들어 올리고
그 아래에 뼈를 보강해 주어야
임플란트를 안정적으로 심을 수 있습니다.
또한 발치가 필요한 치아의 경우
발치 후 아무런 처치를 하지 않으면
치조골이 더 빠르게 흡수될 수 있기 때문에
발치와 동시에 치조골이식술을 시행하여
뼈의 형태를 가능한 유지하는 것이 중요합니다.
동탄치과에서
이러한 단계적인 치료는 시간이 소요되지만
장기적인 기능 회복과 임플란트의
수명을 위해 꼭 필요한 과정입니다.
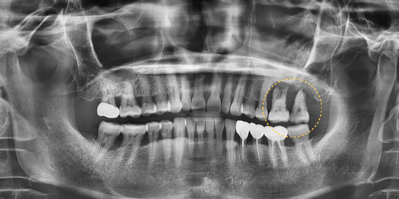
이번 증례의 환자는 50대 여성으로
지인의 소개를 통해 내원하였습니다.
기존에 다니던 치과에서는
치주염으로 인한 치조골 파괴가 심해
임플란트 식립이 어렵다는 소견을
듣고 걱정이 큰 상태였습니다.
실제 검진 결과 치주염으로 인해
어금니 부위의 치조골이
상당 부분 소실되어 있었으며
그대로 임플란트를 진행하기에는
안정성이 부족한 상황이었습니다.
이에 따라 동탄치과에서는
먼저 치조골 파괴가 심각한
치아를 발치하면서 발치와 보존술을
포함한 치조골이식술을 시행하였습니다.
이는 발치 후 치조골이 더 이상
무너지지 않도록 뼈를 보강해 주는 과정으로
이후 단계를 위한 중요한 준비였습니다.
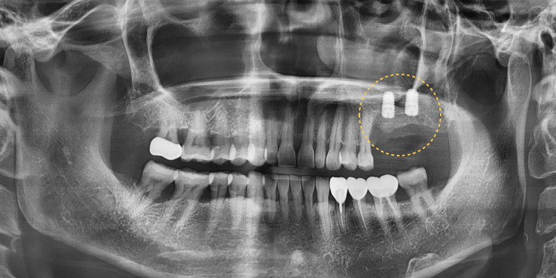
약 3개월간의 회복 기간을 거친 뒤
임플란트 식립과 동시에 추가적인
치조골이식술과 상악동거상술을 병행하여
부족한 뼈를 충분히 보강하였습니다.
위쪽 어금니 부위는 상악동과의 거리 때문에
특히 세심한 접근이 필요했으며
단계적으로 뼈를 회복시키는
방향으로 치료를 진행하였습니다.
환자분은 치과 치료에 대한 공포가
매우 큰 편이었기 때문에 동탄치과에서
발치와 임플란트 수술 과정은
수면 치료를 통해 진행하였습니다.
이를 통해 치료에 대한 부담과 긴장을 줄이고
보다 편안한 환경에서 수술을 마칠 수 있었습니다.
보철완료까지 전체 치료 기간은
약 10개월이 소요되었으며
파괴되었던 치조골이 점차 회복되면서
임플란트가 안정적으로 자리
잡는 과정을 확인할 수 있었습니다.
타원에서 임플란트가 어렵다는
소견을 들을 정도로 치조골의
파괴가 심했던 상태였지만,
단계적인 치조골이식술과 상악동거상술을 통해
충분한 뼈 재생을 이루어낼 수 있었고
그 결과 어금니 부위의 저작
기능도 함께 회복되었습니다.
동탄치과에 내원하신
환자분 역시 이전과 비교해
식사 시 불편함이 크게 줄어든
점에 대해 매우 만족해하셨습니다.
치료 기간은 2024년 6월 10일부터
2025년 4월 14일까지로 약 10개월간
계획된 일정에 맞춰 성공적으로 마무리되었습니다.
동탄치과 서울라미플란트치과교정과치과는
치조골 상태가 좋지 않아
임플란트가 어렵다고 판단되는 경우에도,
불가능하다고 결론짓기보다
현재 상태를 면밀히 분석하고
필요한 치료 단계를 하나씩 차근차근 진행합니다.
개인의 치주 상태와 골 상태를 충분히 고려한
치료를 통해 기능 회복까지 이어질 수 있도록
최선을 다하고 있으며,
앞으로도 환자분 한 분 한 분의 상태에 맞는
가장 적절한 치료 방법으로
만족스러운 결과를 만들어내도록 노력하겠습니다.
감사합니다.
*모든 증례 사진은 의료법 제23조, 제 56조에
의거하여, 당사자의 동의하에 게시하였습니다.
*치료 사진은 모두 본원에서 치료한
환자분의 사진입니다.
*치료 사진은 모두 동일인의 사진이며,
동일조건에서 촬영하였습니다.
*개인의 차이에 따라 시술 및 수술 후
부작용이 발생할 수 있으며,
의료진과 충분한 상담을 받으시기 바랍니다.




