동탄치과, 고령환자의 고난이도 치근단절제술 및 신경치료 사례

동탄치과

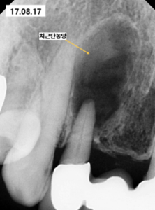
치근단농양은 치아 내부의 신경이 감염되거나

괴사되면서 뿌리 끝 주변에

고름 주머니가 형성되는 상태를 말합니다.

이 염증은 시간이 지날수록

점점 커지면서 주변 치조골을 녹이고

잇몸이 붓거나 통증이 발생하게 됩니다.

특히 앞니 부위에 발생한 치근단농양은

심미적인 문제뿐 아니라 기능적인 불편까지

동반될 수 있어 조기 진단과 정확한 치료가

중요합니다.

치근단농양의 치료는

원인균을 제거하는 것이 핵심입니다.

일반적으로는 신경치료를 통해

치아 내부의 감염된 조직을 제거하고

소독하여 염증의 원인을 차단합니다.

다만 농양의 크기가 매우 크거나

신경치료만으로는 염증 조직이

완전히 제거되기 어려운 경우에는

치근단절제술을 함께 고려하게 됩니다.

치근단절제술은 잇몸을 통해 뿌리 끝 부위에

직접 접근하여 염증 조직과 감염된 치근단을

제거하는 수술적 방법으로

치아를 발치하지 않고 살릴 수 있는

중요한 보존치료 중 하나입니다.

고령의 환자에서는 전신 상태와

회복 속도를 고려하여 치료 단계를

나누어 진행하는 것이 안전합니다.

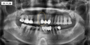
이번 동탄치과 환자는 70대 여성으로

앞니 잇몸이 심하게 부어 내원하였습니다.


검사 결과 앞니 치아 뿌리 부위에 발생한

치근단농양의 크기가 치아 크기보다

더 크게 관찰될 정도로 매우 심한 상태였습니다.

일반적으로는 발치 후 임플란트를 고려해도

무리가 없는 상황이었으나

환자분께서 가능한 한 자신의 치아를

살리고 싶다는 강한 의지를 보이셨고

이에 동탄치과에서는

보존적인 치료를 목표로

치료 계획을 수립하였습니다.

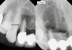
먼저 신경치료를 통해 치아 내부의

감염원을 제거하고 치근단농양의 크기를

최대한 줄이는 과정을 진행하였습니다.

고령의 환자였기 때문에 신경치료와

치근단절제술을 한 번에 진행하지 않고

약 한 달 정도의 시간을 두어

단계적으로 치료를 시행하였습니다.


신경치료 후 염증의 범위가 안정된 것을 확인한 뒤

치근단절제술을 통해 잔존해 있던

염증 조직을 완전히 제거하였습니다.

치료 결과

전치부의 치근단농양은 완벽하게 제거되었고

손실되었던 치조골 역시 시간이 지나면서

100%에 가까운 재생이 관찰되었습니다.

집중치료기간은 약 2달로 이후 1년뒤에도

보존이 잘 이루어지고 있음을 확인할 수 있습니다.


이후 현재까지 8년간

정기적인 경과 관찰을 진행하고 있습니다.

장기적인 추적 관찰 기간 동안

염증의 재발이나 추가적인 문제는

전혀 발생하지 않았고

치아는 안정적으로 잘 유지되고 있습니다.

치아보다 더 큰 크기의 치근단농양은

치료 난이도가 매우 높아 대학병원에서

치료를 진행하도록 권유받는 경우도 많습니다.


그럼에도 불구하고 동탄치과에서는

신경치료와 치근단절제술을

적절히 병행하여 자연치아를 보존하고

장기적으로 안정적인 결과를 얻을 수 있었습니다.

고령의 환자 특성을 면밀하게 고려하여

치료 간격과 방법을 조절하고

치아를 살릴 수 있는 최선의 선택을 한 결과라고

생각합니다.

앞으로도 환자 한 분 한 분의 상황에 맞는

정확한 진단과 책임 있는 치료를 통해

가능한 한 자연치아를 오래 사용할 수 있도록

최선을 다해 진료하겠습니다.

감사합니다.

*모든 증례 사진은 의료법 제23조, 제 56조에 의거하여, 당사자의 동의하에 게시하였습니다.

*치료 사진은 모두 본원에서 치료한 환자분의 사진입니다.

*치료 사진은 모두 동일인의 사진이며, 동일조건에서 촬영하였습니다.

*개인의 차이에 따라 시술 및 수술 후 부작용이 발생할 수 있으며, 의료진과 충분한 상담을 받으시기 바랍니다.

네이버 바로가기







문의 전화

031-375-2528

네이버 예약

네이버 예약