동탄역치과, 교정과 임플란트를 병행한 복합치료

안녕하세요
동탄역치과
서울라미플란트치과입니다.
치아교정과 임플란트 치료는 단순히
치아 배열을 가지런히 만드는 것을 넘어
잃어버린 치아의 기능까지 회복할 수 있는
종합적인 치료 방법입니다.
많은 분들이 교정은 미용적인 목적에만
국한된다고 생각하시지만
사실 교정치료는 충치나
잇몸질환의 원인이 되는
잘못된 교합을 바로잡고
장기적으로 치아의 수명을
연장시키는 데에도 중요한 역할을 합니다.
반면, 이미 손상된 치아나
빠진 치아가 있는 경우에는
교정만으로는 한계가 있기 때문에
임플란트를 병행해 저작 기능을 회복해야 합니다.
이러한 이유로 치열에 따라서 교정과 임플란트를
함께 진행할 수 있는 동탄역치과을
선택하는 것이
치료의 완성도를 높이는 핵심이라고 할 수 있습니다.
이번 사례의 환자분은 30대 여성분으로
치열이 고르지 않고 충치가 심해
씹는 것에 어려움을 겪고 계셨습니다.
여러 치과를 알아보던 중 교정과 임플란트
일반진료를 한 곳에서 모두 진행할 수 있는
서울라미플란트치과를 방문하셨습니다.

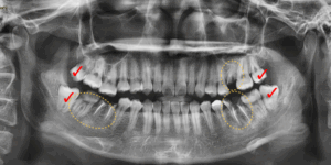
전체적인 치열이 고르지 않은 상황이었고
상하좌우 4개의 매복사랑니가 있었으며
군데군데 이미 충치가 깊어서 뿌리만
남아있는 치아가 여러개 있었습니다.

교정을 먼저 진행하면서
왼쪽아래의 뿌리만 남아있던 어금니를
가장 먼저 발치해주었습니다.

이후 오른쪽 위 사랑니와
심하게 손상되어 뿌리만 남아있던
왼쪽 위,오른쪽 아래 어금니를 발치해주었습니다.

이후 나머지 매복된 사랑니를 모두 발치하였고
교정을 통해서 쓰러져있던 치아들이
바로 세워졌습니다.

교정을 진행하여 치아들을 바르게 세운 뒤
발치를 진행했던 공간들을 적절하게 확보하여
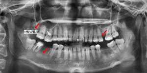
임플란트를 식립하였습니다.
이 때, 오른쪽 아래의 맨 끝 어금니는
교정을 위해서 살려서 쓰기로 처음에는 결정했으나
교정이 끝나갈 때쯤 재평가를 통해
예후가 좋지 않아서
발치 후 임플란트로 결정을 바꾸게 되었습니다.

임플란트 보철까지 완성한 모습입니다.
치아교정 종료 후 고정성 유지장치를 통해
교정이 마무리된 상태를 유지할 수 있도록 하습니다.
치료 초반에는 치아 배열과 교합을 정리하기 위한
교정치료를 집중적으로 진행했고
발치 후 치열공간을 정리하여
교합을 안정시킴으로써
향후 임플란트 위치가 자연스럽게
잡히도록 계획적으로 접근했습니다.
이후 교정이 마무리 단계에 접어들 무렵
결손된 어금니 부위에 임플란트를 식립하여
교정 종료 시점과 임플란트의
보철 완성 시점을 일치시킬 수 있었습니다.
교정으로 만들어진 이상적인 교합 관계 위에
임플란트가 안정적으로 자리 잡았습니다.
총 치료 기간은 약 5년에 걸쳐 진행되었는데
중간에 약 2년 정도 환자가 개인적인 사정으로
내원하지 못하는 기간이 있었습니다.
그러나 치료 전 단계마다
철저히 계획된 진료 프로세스 덕분에
오랜 공백 후에도 문제없이 치료를 재개할 수 있었고
결국 깔끔하게 치료를 마무리할 수 있었습니다.

치료 종료 후 환자분은 정돈된 치열과 건강한 잇몸
그리고 잃었던 어금니 기능의 회복으로
매우 만족스러워하셨습니다.
이번 사례는 교정과 임플란트를 동시에
계획적으로 병행함으로써
심미성과 기능을 모두 회복한
대표적인 성공 사례입니다.
치료 기간은 다소 길었지만
단계를 명확히 구분하고
각 치료 간의 연계를 정확히
맞춘 것이 좋은 결과로 이어졌습니다.
동탄역치과 서울라미플란트치과는
교정과 임플란트
일반진료를 모두 아우를 수 있는
통합진료 시스템을 기반으로
환자 한 분 한 분의 구강 상태에 맞는
맞춤형 치료를 진행하고 있습니다.
장기 치료가 필요한 복합 케이스의 경우에도
체계적인 계획 아래 성공적 결과를
만들기 위해 항상 최선을 다하겠습니다.
감사합니다.
*모든 증례 사진은 의료법 제23조, 제 56조에 의거하여, 당사자의 동의하에 게시하였습니다.
*치료 사진은 모두 본원에서 치료한 환자분의 사진입니다.
*치료 사진은 모두 동일인의 사진이며, 동일조건에서 촬영하였습니다.
*개인의 차이에 따라 시술 및 수술 후 부작용이 발생할 수 있으며, 의료진과 충분한 상담을 받으시기 바랍니다.