동탄치과, 신경과 가까운 매복사랑니도 깔끔하게

입안 가장 안쪽에 자리 잡은 사랑니는
영구치 중 가장 늦게 만들어지는 치아로
보통 사춘기 이후 십 대 후반에서
이십 대 초반에 맹출되기 시작합니다.
모든 치아가 제자리에 곧게 나오면 좋겠지만
턱뼈의 크기가 작아진 현대인들에게
사랑니가 온전히 나올 공간은
부족한 경우가 많습니다.
이로 인해 잇몸 속에 파묻혀 있거나
비스듬히 누워서 자라게 되는데
이를 매복 사랑니라고 부릅니다.
매복된 사랑니는 잇몸 사이에
미세한 틈을 만들어 음식물이 잘 끼게 하고
칫솔질로도 깨끗하게 관리하기가 매우 어렵습니다.
이 상태를 방치하면 주변 잇몸에
염증이 생겨 붓고 통증이 발생하며
바로 앞에 있는 어금니까지 충치를 옮기거나
뿌리를 손상시킬 수 있어
적절한 시기에 조치를 취하는 것이
구강 건강을 지키는 길입니다.
특히 발치할 때 가장 주의 깊게
살펴야 하는 부분은 치아 뿌리와
아래턱 신경관과의 거리입니다.
아래턱에는 입술과 턱 주변의 감각을 담당하는
큰 신경 줄기가 지나가는데
사랑니가 이 신경과 밀접하게
붙어 있는 경우가 많습니다.
만약 치아를 뽑는 과정에서
신경에 무리한 힘이 가해지면
일시적 혹은 영구적인
감각 이상이 나타날 수 있어
매우 정교한 발치진행이 필요합니다.
또한 뿌리 모양이 갈고리처럼 휘어져 있거나
턱뼈에 단단히 고정되어 있다면
발치 난이도는 더욱 올라갈 수 있습니다.
이러한 이유로 뿌리가 휘어 있거나
신경관에 맞닿은 고난도 케이스의 경우
숙련된 판단과 세밀한 분석을 통해
안정성을 확보하는 과정이 선행되어야 합니다.
최근 동탄치과를 찾아주신
이십 대 초반의 남성 환자분께서는
치아 교정 치료를 모두 마치고
마지막 단계로 아래턱
매복 사랑니 발치를 앞두고 계셨습니다.

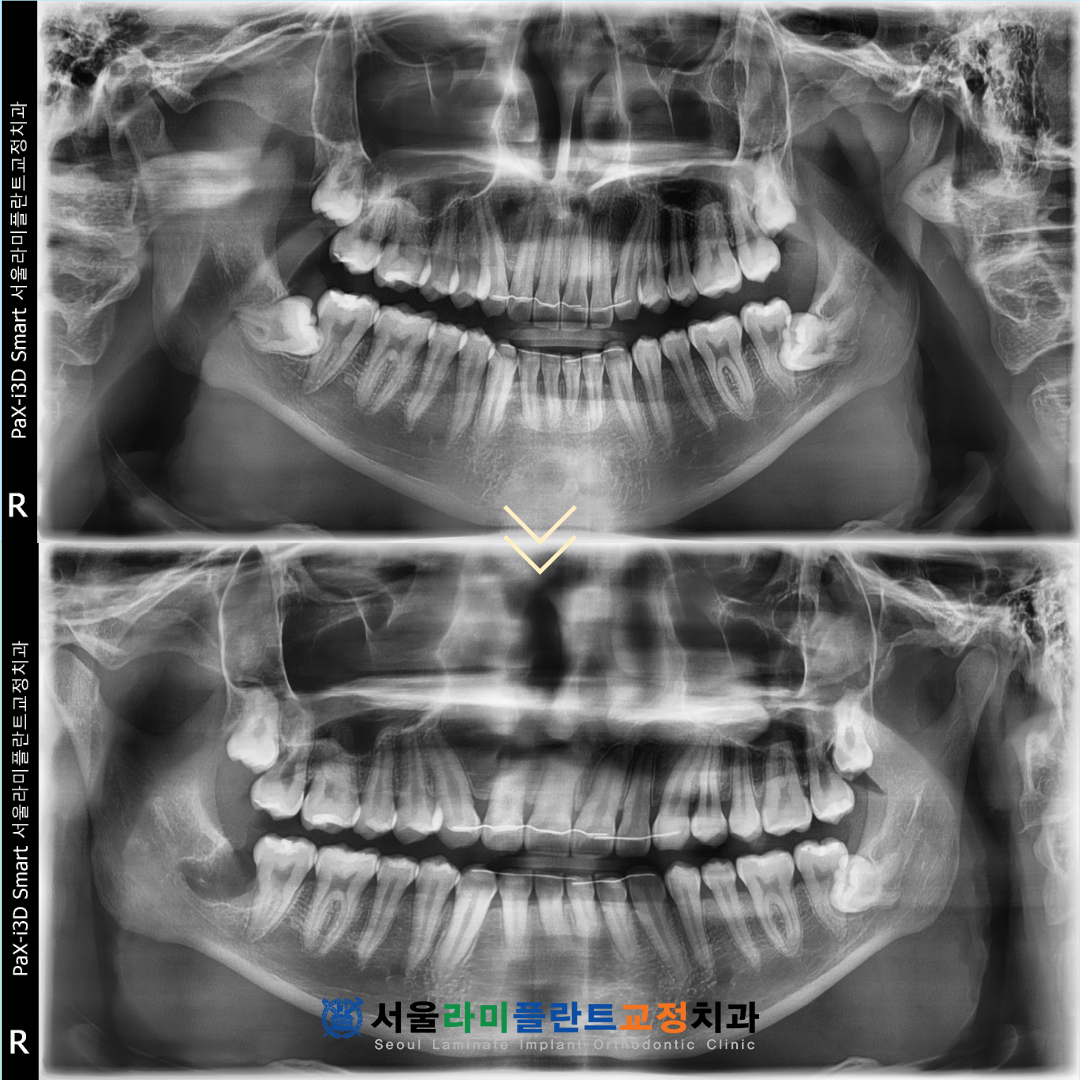
26.02.14
동탄치과 환자분께서는
곧 군 입대를 앞두고 있어
불편함을 미리 없애고자
매복된 사랑니 네 개를 동시에
발치하기를 희망하셨습니다.
하지만 정밀 검사 결과
오른쪽 아래에 위치한 사랑니의
상태가 매우 까다로웠습니다.

해당 치아는 잇몸 속에 깊이
매복되어 있을 뿐만 아니라
치아의 뿌리가 심하게
휘어져 있는 형태였습니다.

무엇보다 큰 문제는 사랑니의 뿌리가
아래턱 신경관인 하치조신경관과
겹쳐 보일 정도로 매우 가깝게
인접해 있다는 점이었습니다.
이러한 상황 때문에
다른 여러 치과들로부터
발치가 어렵다는 이야기를 듣고
거절의 말을 들으신 뒤 고민 끝에
동탄치과를 방문해 주셨습니다.
환자분의 상태를 면밀히 분석한 결과
무리하게 네 개의 사랑니를
한 번에 발치하기보다는
가장 문제가 되는 고난도 부위부터
먼저 진행하는 것이
좋을 것으로 판단하였습니다.
특히 하치조신경관과 치아 뿌리가 겹쳐 있는
매복 사랑니의 경우 발치 과정에서
뿌리가 부러지거나 조각이
남을 확률이 매우 높았으며
신경 손상의 위험성도 배제할 수 없었습니다.
이에 따라 보다 정밀한 입체 분석을 위해
CT촬영을 진행하여 치아의 굴곡진 각도와
신경관의 위치 및 거리를
입체적으로 파악하였습니다.
동탄치과 서울라미플란트치과교정과치과는
분석된 데이터를 바탕으로
치아를 분할하여 발치할 계획을 세웠으며
신경에 가해지는 압박을 가능한 줄이면서
휘어진 뿌리 끝까지 손상 없이
꺼낼 수 있도록 신중하게 접근하였습니다.

26.02.21
그 결과 하치조신경관에
매우 밀접해 있던 사랑니였음에도 불구하고
어떠한 신경 손상이나 합병증 없이
발치가 성공적으로 이루어졌습니다.
우려했던 치근 파절이나 뿌리 조각이
남는 문제 없이 치아 전체가 깨끗하게 발치되었으며
환자분께서 걱정하셨던 감각 이상 증상
또한 전혀 나타나지 않았습니다.
환자분께서는 다른 치과에서
어렵다고 했던 케이스를
통증이나 부작용 없이
깔끔하게 끝났다는 점에 대해
매우 높은 만족감을 표현해 주셨습니다.

고난도 매복 사랑니였기에
치료 전 긴장감이 컸지만,
계획대로 마무리가 되어
환자분께서도 가벼운 마음으로
입대를 준비하실 수 있게 되었습니다.
동탄치과 서울라미플란트치과교정과치과는
난이도가 높고 위험 부담이 따르는 치료일수록
더욱 원칙에 충실하며
신중한 자세로 임하고 있습니다.
타 기관에서 어렵다는 판정을 받은
케이스라 할지라도 환자분이 겪고 계신
불편함을 외면하지 않고
정밀한 분석과 풍부한 진료 경험을 바탕으로
최선의 방법을 찾기 위해 노력합니다.
단순히 치아 하나를 뽑는 과정에 그치지 않고
치료 이후 환자분의 삶의 질과
회복 과정까지 세심하게 고려하여
진료 방향을 결정합니다.
환자분들께서 믿고 맡겨주시는
그 마음을 소중히 여겨 앞으로도
정직하고 세심한 진료를 통해
건강한 구강 환경을 만들어 드리는 데
진심을 다하겠습니다.
감사합니다.
*모든 증례 사진은 의료법 제23조, 제 56조에
의거하여, 당사자의 동의하에 게시하였습니다.
*치료 사진은 모두 본원에서 치료한
환자분의 사진입니다.
*치료 사진은 모두 동일인의 사진이며,
동일조건에서 촬영하였습니다.
*개인의 차이에 따라 시술 및 수술 후
부작용이 발생할 수 있으며,
의료진과 충분한 상담을 받으시기 바랍니다.