동탄역치과, 사랑니 발치와 치근낭종제거를 한번에
사랑니는 단순히 뒤쪽에 위치한 치아가 아니라
구강 건강 전반에 큰 영향을 미칠 수 있는
치아이기도 합니다.
사랑니는 단순히 뒤쪽에 위치한 치아가 아니라
구강 건강 전반에 큰 영향을 미칠 수 있는
치아이기도 합니다.
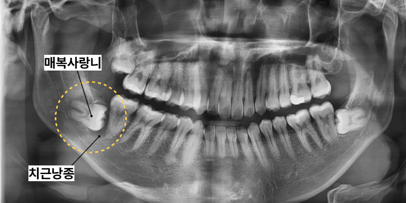
특히 잇몸과 뼈 속에 깊게 묻혀 있는 매복사랑니는
주변 치아를 밀거나
뿌리를 손상시키는 것은 물론이고,
턱뼈 안에서 물혹을 동반하기도 합니다.
치근낭종은 치아 뿌리 주위에 발생하는
병리적 낭종으로
시간이 지나면서 뼈를 파괴하거나
신경을 압박해 감각이상과 통증을 유발할 수 있으며
경우에 따라 얼굴의 변형까지 초래할 수 있습니다.
따라서 매복사랑니 발치와 동시에
물혹 제거가 필요한 상황에서는
숙련된 전문의의 판단과 경험이
무엇보다 중요합니다.
문제는 이런 케이스가
일반 치과에서는 쉽지 않다는 점인데요
사랑니가 뼈 속 깊이 묻혀 있거나
물혹이 동반된 경우에는
수술 난도가 높아 발치를 권유하지 않거나
대학병원으로 전원하는 경우가 많습니다.
대학병원에서는 전신마취와 입원을 통해
수술을 진행하는 것이 일반적인데
실제로는 최소 수개월의 대기 기간이 필요하고
입원으로 인한 불편도 크다는 단점이 있습니다.
반면, 풍부한 경험을 갖춘 전문 치과에서는
국소마취나 수면마취만으로도
안전하게 수술을 진행할 수 있어
환자 입장에서 부담을 줄일 수 있습니다.
이러한 매복사랑니 발치에서 가장 중요한 것은
정확한 진단과 철저한 준비,
수술하는 치과의사의 경험에서 오는 노하우입니다.
이번 동탄역치과 사례의 환자분은 30대 남성으로
하악 부위 매복사랑니와 물혹이
함께 발견되었습니다.
여러 사랑니 전문치과에서 모두 발치를 거절당했고
대학병원에서는 전신마취를 진행해서
발치는 가능하지만
물혹 제거때문에 2박 3일동안
입원을 해서 진행하는 것이 필요하며
최소 6개월 이상 기다려야 한다는
설명을 들으셨습니다.
물혹이 자리를 잡고 있어서
2차적인 문제를 야기할 수 있으므로
치료가 시급했음에도 기다림과 입원 부담 때문에
고민이 깊어졌던 환자분은 인터넷을 통해
저희 동탄역치과 서울라미플란트교정치과를 알게 되었고
자차로 1시간이나 되는 장거리를 이동해
내원하셨습니다.
내원 당시 환자분께 수술 시간과 난도를 고려해
수면진료를 권유드렸으나
본인은 충분히 참을 수 있다고 판단하여
국소마취만으로 수술을 진행했습니다.
수술은 약 30분 이내에 끝났으며
매복사랑니 발치와 동시에 물혹까지
안전하게 제거할 수 있었습니다.
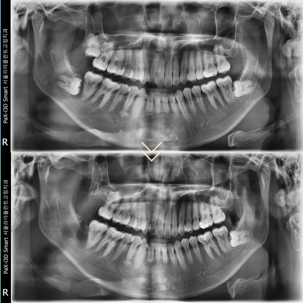
발치 후 사진
좌측: 치아를 버로 분할하여 제거함
우측: 치관에 잇던 치근낭종을
한덩어리로 깔끔하게 제거함
대학병원에서도 전신마취가 필요하다고
판단할 정도의 어려운 케이스였지만
동탄역치과는 당일 내원 후 국소마취만으로
발치와 낭종 제거를 모두 마무리할 수 있었습니다.
발치 다음날 환자분은 소독을 위해 내원하셨는데
수술 부위에 합병증이나 신경 손상 증상은
전혀 관찰되지 않았으며
부종도 크지 않아 일상생활에
바로 복귀하실 수 있었습니다.
대학병원 입원치료를 권유받았던 환자분이
짧은 시간 안에 문제를 해결하고
빠르게 회복하실 수 있었던 점에 대해
크게 만족하셨습니다.
이처럼 매복사랑니와 물혹이
동시에 존재하는 경우라도
숙련된 술자와 체계적인 진단이 뒷받침된다면
입원이나 전신마취 없이도
안전하게 수술이 가능합니다.
중요한 것은 환자분의 상태를 정확히 파악하고
알맞은은 방법으로 수술을 시행하는 전문성입니다.
저희 동탄역치과 서울라미플란트교정치과는
이러한 복잡한 매복사랑니 케이스에서도
안전하고 신속하게 치료를 진행하여
환자분들의 불안과 부담을 덜어드리고 있습니다.
앞으로도 환자 개개인의 상황을 면밀히 분석하여
최선의 결과를 만들어 내도록 최선을 다하겠습니다.
감사합니다.
*모든 증례 사진은 의료법 제23조, 제 56조에 의거하여, 당사자의 동의하에 게시하였습니다.
*치료 사진은 모두 본원에서 치료한 환자분의 사진입니다.
*치료 사진은 모두 동일인의 사진이며, 동일조건에서 촬영하였습니다.
*개인의 차이에 따라 시술 및 수술 후 부작용이 발생할 수 있으며, 의료진과 충분한 상담을 받으시기 바랍니다.




